Weitere Infos
Was ist eine Wurzelbehandlung?
Eine Wurzelkanalbehandlung (endodontische Behandlung) ist eine zahnmedizinische Therapie bei einer Entzündung des Weichgewebes im Zahninneren. Früher war ein solchermaßen erkrankter Zahn verloren und musste gezogen werden. Heute hat die Erhaltung der eigenen Zahnsubstanz oberste Priorität. Eine Wurzelbehandlung zählt zu den anspruchsvollen Eingriffen in der Zahnmedizin, da die Wurzelkanäle individuell sehr lang, stark gekrümmt oder tief im Zahn verborgen liegen können. Der Behandlungserfolg hängt maßgeblich von der Erfahrung und Sorgfalt des behandelnden Zahnarztes sowie von der eingesetzten Technik ab. Nur wenn sämtliche Wurzelkanäle vollständig gefunden, gründlich desinfiziert, von Anfang bis Ende gefüllt und wieder verschlossen werden, kann der Zahn langfristig erhalten werden. In der Regel folgt im Anschluss eine Stabilisierung durch eine Zahnkrone, da wurzelbehandelte Zähne aufgrund ihrer Vorschädigung anfälliger für Risse oder Bruch sind.
Das AD Zahnzentrum Dortmund verfügt über eine hochmoderne technische Ausstattung speziell für endodontische Eingriffe. Unsere erfahrenen Spezialisten für Wurzelbehandlungen (Endodontologen) erzielen mit Hilfe eines hochauflösendes OP-Mikroskops, elektronischer Längenmessung des Wurzelkanals (Endometrie) und speziellen Feilensystemen hervorragende Ergebnisse. Die Erfolgsquote beim Zahnerhalt selbst in schwierigen Fällen - bei sogenannten Revisionen oder Wurzelspitzenresektionen - ist deutlich größer.

Warum ist eine Wurzelbehandlung notwendig?
Entzündungen im lebendigen Zahninneren kennt man umgangssprachlich als Wurzelentzündung. Das Zahnmark (Pulpa) ist von feinen Nervenbahnen, Blutgefäßen und Bindegewebe durchzogen. Es verläuft durch die Wurzelkanäle. Zahnmediziner sprechen daher von Wurzelkanalentzündung oder Wurzelspitzenentzündung. Die häufigste Ursache dafür ist eine Infektion durch Kariesbakterien. Die Keime können beispielsweise durch undichte Füllungen, Risse oder Spalten im Zahn ins Zahnmark eindringen.
Dabei können Druckempfindlichkeit beim Kauen oder Schmerzen bei Temperaturreizen erste Anzeichen für eine Wurzelkanalentzündung sein. Meistens treten pulsierende oder pochende Schmerzen auf. Oft klingen die Schmerzen wieder ab, bevor sie dann sehr stark zurückkehren. Typisch für eine fortgeschrittene Erkrankung sind Schwellungen oder eitrige Abszesse (die sprichwörtliche dicke Backe). Eine Zahnwurzelentzündung ist schmerzhaft und kann zu weiteren gesundheitlichen Problemen führen. Um den Zahn zu erhalten, muss eine Wurzelbehandlung durchgeführt werden. In einigen Fällen ist eine präventive Wurzelbehandlung sinnvoll, etwa wenn Zähne zur Befestigung von Zahnersatz stark beschliffen werden müssen. Ein erfolgreich wurzelbehandelter Zahn kann oft problemlos jahrelang im Körper bleiben. Zahnerhalt vor Zahnersatz spart überdies Geld!
5 Jahre Garantie

Unklare Begriffe?
Finden Sie eine Erklärung in unserem Fachbegriffs-Lexikon.
Wie läuft eine Wurzelbehandlung im AD Zahzentrum Dortmund ab?
Eine Wurzelkanalbehandlung klingt für viele beängstigend – muss es aber nicht. Mit umfassender Betäubung, guter Technik und Erfahrung des Endodontologen bleibt der Eingriff schmerzfrei und der eigene Zahn kann erhalten werden. Dafür wird zunächst wird eine Röntgenaufnahme erstellt, um zu sehen, wo die Wurzelkanäle verlaufen und wie weit die Entzündung reicht.
Nach einer Lokalanästhesie wird der Zahn vorsichtig angebohrt, um an die Wurzelkanäle zu gelangen Diese werden mit filigranem Werkzeug – sogenannten Feilen - von abgestorbenem oder entzündetem Gewebe gereinigt, anschließend gespült und desinfiziert. Danach wird das Kanalsystem mit einem speziellen Material vollständig gefüllt und versiegelt, damit keine neuen Bakterien eindringen können. Am Ende erhält der Zahn normalerweise eine Krone, um die vorgeschädigte Substanz zu erhalten. Eine Füllung, auch mit Stiftaufbau, reicht aufgrund des hohen Kaudrucks meistens nicht aus. Fingerspitzengefühl und Gründlichkeit haben oberste Priorität. Es müssen alle Bakterien und Gewebereste entfernt werden, um weitere Schmerzen und eine erneute Entzündung zu vermeiden.

Was macht eine gute Wurzelbehandlung aus?
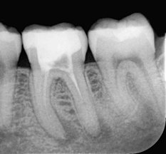
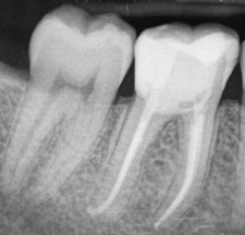
Wurzelkanalbehandlungen sind komplex. Es müssen auch feinste Wurzelkanäle gefunden, gereinigt und vollständig gefüllt werden. Im AD Zahnzentrum Dortmund werden daher Wurzelkanalbehandlungen von speziell ausgebildeten Zahnärzten (Endodontologen) durchgeführt. Modernste Technik unterstützt die Behandlung. Beispielsweise arbeiten die Experten unter einem hochauflösenden OP-Mikroskop oder vermessen die Wurzelkanäle elektronisch (Endometrie). Die hier zu sehenden Röntgenaufnahmen verdeutlichen, wie entscheidend kleinste Details für den Behandlungserfolg sein können.
Auf dem linken Bild ist eine unvollständige Wurzelfüllung erkennbar. Die dünne weiße Linie endet deutlich vor der Wurzelspitze. Die dunklen Schatten im Bereich der Wurzelspitzen weisen auf eine erneute Entzündung hin. Das rechte Bild zeigt denselben Zahn nach einer erneuten Behandlung (Revision). Alle Wurzelkanäle wurden vollständig gereinigt und bis zur Wurzelspitze dicht verschlossen – die Prognose für den Zahnerhalt ist dadurch sehr positiv.
Wie wird eine Wurzelbehandlung im AD Zahnzentrum Dortmund durchgeführt?
Die natürlichen Zähne so lange wie möglich zu erhalten, ist immer die beste Lösung. Wurzelbehandelte Zähne können über viele Jahre hinweg zuverlässig funktionieren. Für den langfristigen Zahnerhalt bieten wir Ihnen zwei moderne Behandlungsvarianten an:
Hochmoderne Instrumente
Zur Diagnostik und Behandlungsplanung kann eine 3D Röntgenaufnahme (DVT) erstellt werden. Damit werden komplizierte anatomische Verhältnisse besonders detailliert dargestellt. Der Endodontologe kann die Wurzellänge elektronisch (endometrisch) mithilfe eines speziellen Geräts bestimmen. Die Reinigung und Aufbereitung der Wurzelkanäle erfolgt in der Regel mit einem speziellen Feilensystem.
Unterstützung durch das OP-Mikroskop
Die Erfolgsquote der Behandlung lässt sich durch den Einsatz eines hochauflösenden OP-Mikroskops deutlich steigern. In anspruchsvollen Fällen – etwa bei einer erneut notwendigen Wurzelbehandlung (Revision) oder stark verästelten, gekrümmten Wurzelkanälen– empfehlen wir dies in jedem Fall. Durch die bis zu 25-fache Vergrößerung und die optimale Ausleuchtung hat der behandelnde Zahnarzt beste Rahmenbedingungen für die Behandlung.


Was kostet eine Wurzelbehandlung?
Die gesetzlichen Krankenkassen übernehmen die Kosten der Wurzelkanalbehandlung oft nur eingeschränkt. Die Kosten richten sich nach dem zahnärztlichen Aufwand, abhängig von der Anzahl und Beschaffenheit der Wurzelkanäle, den verwendeten Techniken und Materialien. Zusatzkosten für den Einsatz spezieller Instrumente, etwa dem OP-Mikroskop, müssen von den Patienten selbst übernommen werden. Doch die Investition kann sich lohnen. Schließlich verlängert sich dadurch die Lebensdauer des eigenen Zahns. Es braucht keinen teuren Zahnersatz. Gut zu wissen: Im AD Zahnzentrum Dortmund erhalten Sie auf Wurzelkanalbehandlungen unter dem OP-Mikroskop grundsätzlich fünf Jahre Garantie.
Sind Sie privat versichert oder haben Sie eine private Zahnzusatzversicherung? Bitte informieren Sie sich vor Behandlungsbeginn über eine Kostenübernahme. Beachten Sie für weitere Informationen gerne die Einzelpreisliste.

Häufige Fragen zu Wurzelbehandlung im ADZahnzentrum Dortmund
Die Entzündung im Wurzelkanal ist oft sehr schmerzhaft. Die Behandlung ist es nicht. Im Vorfeld erhalten Patienten eine wirksame örtliche Betäubung.
Nach einer erfolgreichen Wurzelbehandlung im AD Zahnzentrum Dortmund klingen die Schmerzen rasch ab, weil das entzündete Gewebe entfernt wurde. Der Zahn kann sich beruhigen. Allerdings ist die Zahnsubstanz durch die Behandlung relativ stark in Mitleidenschaft gezogen. Deshalb wird normalerweise eine Krone eingesetzt, die den Zahn schützt und stabilisiert. Bei einer erfolgreichen Wurzelkanalbehandlung ist keine Nachbehandlung (Revision) nötig.
Eine Wurzelspitzenresektion ist ein kleiner chirurgischer Eingriff. Er wird im AD Zahnzentrum Dortmund durchgeführt wird, wenn sich an der Spitze einer Zahnwurzel eine Entzündung oder ein Abszess gebildet haben. Das kann trotz einer vorherigen Wurzelkanalbehandlung passieren. Oft ist das die letzte Möglichkeit, den Zahn zu erhalten. Der Eingriff wird ambulant und unter örtlicher Betäubung durchgeführt. Die entzündete Wurzelspitze und das erkrankte Gewebe werden entfernt.
Anders als häufig behauptet, sind wurzelbehandelte Zähne nicht schädlich. Dagegen schaden abgestorbenes Gewebe und aktive Entzündungen im Zahninneren dem Körper massiv. Denn das Immunsystem ist dauerhaft belastet. Möglicherweise streuen schädliche Keime durch das Blut in andere Organe. Eine Wurzelkanalbehandlung verhindert genau das.
Eine gründliche Reinigung aller Wurzelkanäle von Bakterien und Geweberesten ist entscheidend für den dauerhaften Erfolg der Behandlung. Die Kanäle müssen daraufhin vollständig gefüllt und abgedichtet werden. Das AD Zahnzentrum Dortmund setzt hier zusätzlich zur Expertise der Zahnärzte auf modernste Geräte: So tragen Behandlungen unter dem OP-Mikroskop, elektronische Längenmessung der Wurzelkanäle oder Laser-Desinfektion maßgeblich zum Behandlungserfolg bei.



